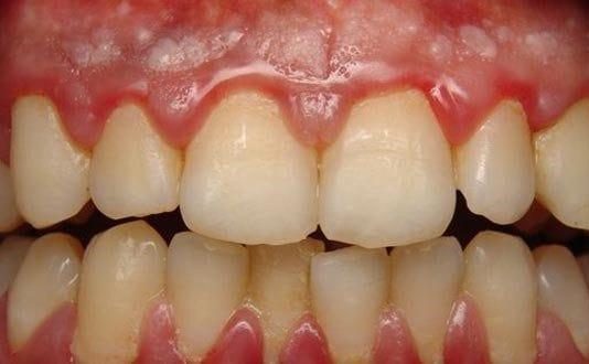
Ουλίτιδα ονομάζεται η φλεγμονή των ούλων που προκαλείται από τα μικρόβια που συγκεντρώνονται ανάμεσα στα δόντια και στα ούλα. Έτσι τα ούλα έχουν έντονο ερυθρό χρώμα , υπάρχει αιμορραγία και πρήξιμο αυτών.
Η ουλίτιδα αντιμετωπίζεται με τον καθαρισμό στο οδοντιατρείο τουλάχιστον μια φορά τον χρόνο αφαιρώντας την μικροβιακή πλάκα και την πέτρα (τρυγία) που σχηματίζεται. Για την πρόληψη της ουλίτιδας σημαντικό είναι η καλή στοματική υγιεινή, το βούρτσισμα των δοντιών τουλάχιστον 2 φορές την μέρα , χρήση νήματος και στοματικού διαλύματος (χωρίς αλκοόλ).

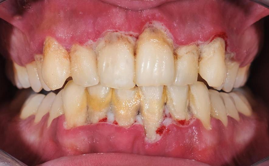
Περιοδοντίτιδα ονομάζεται η χρόνια καταστρεπτική φλεγμονή των ιστών που περιβάλλουν τα δόντια (ούλα, οστό , περιρίζιο) που αν δεν αντιμετωπιστεί καταλήγει σε απώλεια των δοντιών. Για την θεραπεία της περιοδοντίτιδας χρειάζεται ένας αριθμός από συνεδρίες όπου γίνεται βαθύς ή και χειρουργικός καθαρισμός κάτω από γενική αναισθησία. Για να υπάρχει επιτυχία της θεραπείας απαραίτητη είναι η συνεργασία του ασθενούς και η σχολαστική τήρηση κανόνων στοματικής υγιεινής.